婦人忽略胸悶心悸警訊 斷層掃描發現罕見腫瘤細胞作祟
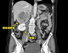
泌尿科醫師許俊凱說明嗜鉻細胞瘤手術進行方式。(圖/台北慈濟醫院提供)
文:陳如頤(NOW健康)
52歲林女士本身有輕微的高血壓,經規律服藥控制良好,雖偶有胸悶、心悸等情形,但因發作時間短暫,不以為意;日前,林女士心悸再次發作且伴隨嚴重盜汗及發燒,被家人送往台北慈濟醫院急診。抽血檢查發炎指數為4(正常為1以下),懷疑腫瘤的可能,進一步檢測神經內分泌腫瘤指數,竟比正常值高出近9倍;經斷層掃描發現,林女士的腎上腺有一顆10公分的罕見嗜鉻細胞瘤,腫瘤已幾乎要比腎臟還大。
嗜鉻細胞瘤種極罕見 屬於功能性腎上腺腫瘤
考量嗜鉻細胞瘤內充斥腎上腺素,若放任不管隨時可能造成血壓暴增及心悸,甚至心衰竭,泌尿科許竣凱醫師立即安排手術摘除腫瘤;術後林女士恢復良好,不再被不定時的心悸所擾。臨床上,腎上腺腫瘤又可分功能性及非功能性2種,前者多屬良性的腺瘤,無分泌荷爾蒙的功能;而後者會持續或間斷性分泌大量荷爾蒙,影響患者健康甚鉅。
許竣凱醫師說:「嗜鉻細胞瘤即是一種極罕見的功能性腎上腺腫瘤,發生率僅10萬分之1。如同潛藏體內的不定時炸彈,平時沒有症狀,一旦受觸發便會猛發性分泌大量腎上腺素,使患者心跳加速,進入亢奮的戰鬥狀態,產生心悸、胸悶、呼吸困難、高血壓等情形。曾有患者因反覆胸悶接受多次心導管檢查後,兜兜轉轉才發現是嗜鉻細胞瘤導致的高血壓危象。」
不明原因心悸、胸悶等身體警訊須留意 以免延誤治療
在腎上腺腫瘤的治療上,以手術切除為首選。許竣凱醫師考量林女士腫瘤太大,且屬於輕微觸碰就會造成血壓飆升的嗜鉻細胞瘤,加之腫瘤緊貼大血管,稍有不慎恐致大出血,故以開腹的方式進行手術,以確保有足夠空間及視野。
手術時,許竣凱醫師由患者腹部中線下刀,撥開大血管後精細分離腫瘤與沾黏組織,過程密切監測血壓;歷經2個小時,在未傷到血管及觸發血壓飆升的情況下,順利將巨大腫瘤摘除,術後8天順利出院,定期回診追蹤。
值得一提的是,其他功能性腎上腺腫瘤,如:醛固酮增多症、庫欣氏症等,會出現水牛肩、月亮臉等顯著症狀,多能在2公分內就被發現並得到診治;然而,嗜鉻細胞瘤卻因發作時間短暫,且症狀缺乏特殊性,往往被忽略或誤診而延誤治療。許竣凱醫師呼籲民眾平時應提高警覺,當身體出現不明原因的心悸、胸悶、呼吸困難、高血壓等情形,須盡早就醫接受診治,避免病情惡化。
相關新聞
-
心律不整別心慌 中醫治療也有效
2018-03-20 15:57:42一位52歲男性,有心律不整的問題,經常覺得心悸,心跳突然不太規則,跳一跳就停一下,平均一天發作十多次,讓他擔心不已。經西醫診斷患有頻發性心室提早收縮,在服用西藥治療後,仍是不見改善,近3個月心律不整的頻率逐漸加劇,覺得自己時常徘徊在死亡邊緣,嚴重影響生活品質。
-
不再心苦 夏天養心秘方讓您安心 | 談古論今話中醫(401)
2019-09-02 11:16:36據媒體報導,一名中年女性,每到夏天就會不停出汗,時常覺得心悸、胸悶、口渴,但西醫檢查一切正常,醫師僅囑咐多運動、喝水,加強心臟力量;但是她不愛運動,心臟也虛弱,因此求助於中醫,飲用生脈飲補心氣,一個多月後,不適症狀明顯改善。 這一集邀請到汾陽中醫診所院長郭威均醫師來到現場,談談在夏天如何護心好生活。
-
真的會心碎!別讓心肌梗塞、心絞痛劃下人生句點,如何自我保健及治療? |談古論今話中醫(362)
2017-07-16 11:54:12藝人郭金發2016年10月8日在台上演唱時突然昏倒,在場人士雖然給予CPR急救,並緊急送醫,仍舊不治,享年72歲。郭金發過去有高血壓病史,走得又如此突然,被懷疑是否為心肌梗塞發作。這一集我們邀請到台灣上海同德堂國藥號主治醫師胡乃文醫師來到現場來談談五臟六腑中最主要的器官-心臟。
-
何謂陰虛體質
2018-04-26 10:18:39人是氣血陰陽的生物,陰虛就是體內津液不足,陰陽失衡,看起來很健康,充滿活力,但為虛假繁榮的「陰虛火旺」,類似於水壺中的水已經很少了,但是下面的火仍燒得很旺。
-
真的會心碎!別讓心肌梗塞、心絞痛劃下人生句點,如何自我保健及治療? |談古論今話中醫(362)預告
2017-07-26 11:27:21藝人郭金發2016年10月8日在台上演唱時突然昏倒,在場人士雖然給予CPR急救,並緊急送醫,仍舊不治,享年72歲。郭金發過去有高血壓病史,走得又如此突然,被懷疑是否為心肌梗塞發作。這一集我們邀請到台灣上海同德堂國藥號主治醫師胡乃文醫師來到現場來談談五臟六腑中最主要的器官-心臟。
-
不再心苦 夏天養心秘方讓您安心 | 談古論今話中醫(401)預告
2019-09-02 11:31:14不再心苦 夏天養心秘方讓您安心 | 談古論今話中醫(401)預告
-
真的會心碎!別讓心肌梗塞、心絞痛劃下人生句點,如何自我保健及治療? |談古論今話中醫(362)電視版
2017-07-14 18:11:47藝人郭金發2016年10月8日在台上演唱時突然昏倒,在場人士雖然給予CPR急救,並緊急送醫,仍舊不治,享年72歲。郭金發過去有高血壓病史,走得又如此突然,被懷疑是否為心肌梗塞發作。這一集我們邀請到台灣上海同德堂國藥號主治醫師胡乃文醫師來到現場來談談五臟六腑中最主要的器官-心臟。
-
失眠多夢、神經衰弱、心悸的人,經常拍打這條經絡 連老年痴呆都遠離你 |心經 |談古論今話中醫(380)
2017-11-20 14:51:36失眠通常伴發著神經衰弱,焦慮,抑鬱等一系列的精神症狀,而焦慮,神經衰弱等精神症狀又會使得失眠越加嚴重,如此惡性循環,使得失眠難以根治。按摩心經的神門穴有安心寧神的作用,心經是一條很重要的經絡,按摩心經好處多多。 這一集我們邀請到國際東洋醫學會新任會長也是台灣中國醫藥大學中醫系講座教授林昭庚醫師來到現場和大家分享中醫經絡養生法(四) 手少陰心經(心經)
-
心臟短路「電器燒灼術」 治療心悸成主流
2013-06-04 20:33:40患有心悸毛病的病人,有福了,臺中榮總嘉義分院,去年引進全新數位心導管室及相關先進醫療設備,利用一種叫 「心導管電氣生理燒灼術」,病人可以免開刀治療,而且終身不需服藥,已經成為針對心悸患者的主要治療方式之一。
-
新手爸媽必備小知識~心包經9個穴道簡單有效 |談古論今話中醫(27)
2016-01-14 16:39:45心包經它是包在心臟外面的一層膜,保護心臟的,所以一般認為心包膜代替這個心經來受外邪的侵襲,使它不會馬上侵入到心臟。這條經絡很簡單,只有9個穴道,但是它的功用卻是非常非常地重要。
-
儀器檢查不出來的心臟病更要小心 來的又快又猛|談古論今話中醫(344)
2017-03-11 22:26:24隨著台灣生活富裕,國人傾向大吃大喝高熱量食物,又不愛動,心臟病高居十大死因的第2位。心臟病初期的表現不易被察覺或誤判。 這一集我們邀請到皇脈中醫診所院長連永祥中醫師,以中醫的角度來分享、分析心臟病的起因與治療與急救。
-
非典型三叉神經痛 1年就醫435次
2018-04-18 15:22:51有些人對看醫生避之唯恐不及,有些人卻是不得已頻繁進出醫院。一名罹患非典型三叉神經痛的女病人「寶寶」,年僅26歲,一年就醫次數就高達435次,因為這種說不出的痛,連風吹過皮膚都是一種折磨。
-
『肺癌』別絕望 中醫調養助抗癌 幫助您戰勝腫瘤 | 談古論今話中醫(454)
2019-09-02 11:08:07據報導, 有位張媽媽,是個從未吸菸的家庭主婦,最近莫名感到胸悶,且咳嗽的情況越來越嚴重,原先以為只是小感冒,直到咳出的痰中帶有血絲,才驚覺大事不妙。進一步檢查後,發現已是肺癌晚期,讓得知消息的家人相當錯愕。以台灣肺癌的診斷結果來看,高達六成的患者發現時已是晚期。 中醫如何預防與治療?這一集很高興邀請到陳博聖中醫師來到現場談談肺癌的預防預治療。
-
連日高溫 南台灣熱病頻傳
2011-06-16 00:39:33連續好幾天的高溫,讓許多民眾不敵酷暑,因為暈眩、脫水、心悸等等的症狀求醫,另外像業務人員穿梭在冷氣間和大太陽底下,引發頭痛,或者是喝多了含糖飲料影響血糖,這種種的「熱病」症狀,在門診爆量。
-
腹痛噁心是腸胃疾病?原來是心肌梗塞
2017-03-06 19:47:39胸悶、胸痛,伴隨氣喘、冒冷汗、心悸、頭暈、嘔吐等,是心肌梗塞的普遍症狀,不過,胸悶灼熱及噁心感和腸胃道發炎時的症狀很像,常被誤認為是腸胃道毛病,而延誤了就醫。
-
每天好累好疲倦,你可能得了這類型的貧血! | 談古論今話中醫(393)
2019-09-02 11:13:52據報導1名1歲2個月的女童,因長得白白胖胖,帶出門時大家都稱讚「養得真好」,家人見她皮膚白皙,原以為只是少曬太陽,沒想到女童日前因發燒掛急診,檢驗才發現血紅素嚴重不足,診斷為缺鐵性貧血;醫師提醒,若長期缺鐵恐影響孩童神經發展,嚴重者更可能出現「異食癖」,出現嗜吃紙張或冰塊等現象,請哺育母乳的媽媽和小孩都要多攝取含鐵質食物。 這一集我們很高興邀請到永昌中醫診所院長鄭秋霞中醫師來到現場談談有關貧血的問題。
-
失眠多夢、神經衰弱、心悸的人,經常拍打這條經絡 連老年痴呆都遠離你 |心經 |談古論今話中醫(380)預告
2018-01-15 17:40:34失眠通常伴發著神經衰弱,焦慮,抑鬱等一系列的精神症狀,而焦慮,神經衰弱等精神症狀又會使得失眠越加嚴重,如此惡性循環,使得失眠難以根治。按摩心經的神門穴有安心寧神的作用,心經是一條很重要的經絡,按摩心經好處多多。 這一集我們邀請到國際東洋醫學會新任會長也是台灣中國醫藥大學中醫系講座教授林昭庚醫師來到現場和大家分享中醫經絡養生法(四) 手少陰心經(心經)
-
便祕「真」傷心!排便太用力頭暈胸悶 恐致腦中風
2021-11-23 21:51:03「便祕」向來是不少人的難言之隱,特別是對於年事已高的人,因為腸道神經反應較遲鈍,排便情況不如過去順暢,是正常的;不過有高血壓等慢性病,或是曾患有冠心病、腦梗塞,就必須格外重視。有位60幾歲的病患就曾在上廁所時出現頭暈、胸悶等緊急狀況,多次就醫。
-
男性更年期症狀 中西醫聯手有效緩解
2018-04-11 09:56:22一位從事教職多年的盧先生,長期和青少年們相處,始終保持一顆年輕又有活力的心。後來發現自己對許多事提不起勁,情緒經常低落,因而至泌尿科求診。經由抽血檢查發現,盧先生的睪固酮(男性荷爾蒙)濃度低於正常值,而在「睪固酮低下自我評估量表」的10個項目中,盧先生幾乎都回答「是」,於是確診為「睪固酮低下症」。在醫師開立塗抹式睪固酮凝膠治療後,每3個月回診,經過約1年的追蹤,已恢復到以往的他。
-
心肌梗塞高危險群 應定期就醫檢查
2018-09-25 15:12:52大部分民眾只要有1條冠狀動脈阻塞,就會導致血流不順,也就是俗稱的「急性心肌梗塞」,48歲莊先生卻是3條冠狀動脈完全阻塞,病情極為少見,原本死亡率超過8成,但在醫療團隊施以氣球擴張支架置放、主動脈幫浦、葉克膜急救、冠狀動脈繞道手術等才救回一命。










