門齒牙冠常脫落 矯正可同時配合植牙治療
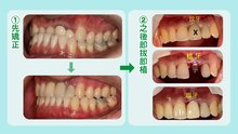
齒性戽斗患者,透過牙齒矯正改善咬合,變回正常臉型,前牙區咬合改善之後,植牙就不是麼困難了。(圖/吳碧礽醫師提供)
文:楊芷晴(NOW健康)
戽斗就是所謂地包天的咬合或是前牙錯咬的狀況,不僅影響臉型美觀,還會打擊個人自信。如果前牙區還需要植牙治療,可說是很困難的。但是戽斗前牙區還需要植牙治療並非全然無解,經過專業牙科醫師的檢查與評估,除了嚴重骨骼性戽斗可能必須接受正顎手術合併牙齒矯正外;若只是齒性戽斗患者,透過牙齒矯正改善咬合,變回正常臉型,前牙區咬合改善之後,植牙就不是麼困難了,重點是,植牙可以植在正確的咬合位置。
1位年約40歲的企業主原先就有齒性戽斗狀況,因為左側門齒已抽過神經,牙根也斷裂,雖不會疼痛,但假牙套常會脫落很困擾,經過牙醫師吳碧礽建議,先保留這顆牙齒、同時採用隱形矯正調整齒列,透過隱形牙套的固定,確保假牙套不易脫落外,矯正過程中也有助於將上顎骨往外拉,改善戽斗、達到正常的咬合。
歷經2年的隱形矯正後,咬合改善了,但那顆牙根已斷裂,老是脫落的假牙還是困擾著他,終於決定將斷裂的牙根拔除,當天隨即進行植牙,並立刻裝上臨時假牙,一點也不影響美觀面子問題。不僅咬合正常、戽斗不見了,現在再也不用擔心牙齒不小心脫落衍生尷尬,或是影響身為老闆的面子問題。
一般正常咬合狀態下,不論是牙周病或牙根斷裂等問題,若能即拔即植最好,骨頭可以保留的較完整,吳碧礽指出,拔牙後將缺牙處徹底清除乾淨,可將植體直接植入,若有骨缺損部分再進行補骨,穩定度夠可以立刻裝上臨時假牙。
還有些患者的上顎骨頭較薄,距離鼻竇很近的情況,吳碧礽說明,通常上顎骨很薄距離鼻竇很近的患者,多數為牙周病缺牙很久或長期配戴活動假牙造成的結果,這類患者以前通常是無法植牙的,但現在則可以使用鼻竇專用的植體植牙。植體的特殊設計是可以將鼻膜往上推、除了可以把自體骨往內推入,還可以在凹型的植體底部放置骨粉,與植體直接推入鼻膜下方,這麼一來植體周圍就有足夠的骨頭,但這種骨頭超薄的植牙放入植體後最好要等半年,讓骨細胞增生包覆植體再做假牙,牙齒基座才能穩固。
要確保植牙安全性與成功率,除了要有正確咬合之外,與經驗豐富、技術良好的醫師溝通都是不可或缺的要素。吳碧礽強調,植牙不能單純以價取勝,便宜中可能潛藏陷阱,透過專業牙醫諮詢找到安全且適合的植體,植牙後應避免抽菸、磨牙,啃咬骨頭或硬物,並做好口腔清潔的護理、半年定期回診1次。惟有勤加保養牙齒健康,才能延長植牙的使用期限。
相關新聞
-
全球植牙病例競賽 台牙醫勇奪世界第一!
2016-09-04 21:03:57今年在德國舉辦的全球植牙病例競賽,共有來自30個國家的150位牙醫好手參賽。彰化縣花壇鄉執業牙醫師張漢明,以幼教師的植牙治療、手術跟矯正當病例,在這項國際級的牙醫競賽中,嶄露頭角,奪得世界第一。
-
植牙屬精密手術 別貪小便宜找密醫
2019-06-13 17:46:42前陣子新聞報導1名簡姓密醫看診10多年,因違反醫師法植牙被判刑,近期出獄後又重操舊業,並以網路低價促銷植牙的手法吸引消費者上門,非法執業危害許多消費者的健康。
-
牙齒矯正漫漫長路 每日維持器清潔別馬虎
2020-04-20 17:14:22牙齒矯正的過程漫長,不僅吃東西不方便,吃完後也容易卡滿菜渣,必須立即清潔,而矯正結束後,又必須換戴維持器至少2、3年,但許多人卻忽略清潔保養的重要,以致發生蛀牙,或是發炎腫脹,增加感染風險。
-
醫療也499之亂?牙醫:貪小便宜虧更大
2018-06-01 15:52:48他以最簡單的補牙為例,健保給付的補牙材料大多為一般「樹脂」,病患剛補完牙普遍感受都不錯,但隨著使用時間增長,若病患經常飲用茶類、咖啡或紅酒,樹脂慢慢地就會染色變黑,造成美觀問題,嚴重者則需要更換,更換就需要做牙齒修模,造成牙齒本來只是一個小洞,卻變得越來越大洞,更換過程對齒質又是再一次的傷害。
-
牙周病情況嚴重牙齒恐難保留 術後牙齒清潔保養是關鍵!
2022-10-27 20:44:46牙齒遭受外力而斷裂、蛀牙過深、牙周病感染等情形,都可能是造成牙齒必須拔除的原因,如果只是單顆缺牙處理較簡單,牙周病往往因為細菌感染導致多顆缺牙,不適合做傳統的牙橋,需透過植牙才能重拾咀嚼功能,揮別缺牙窘境。
-
植牙價格背後藏陷阱 便宜植體使用不到2年恐搖晃斷裂
2021-06-16 19:04:16坊間有些牙醫診所打著價格低廉的植牙廣告,吸引有植牙需求的民眾前來詢問,但手術後民眾卻發現,假牙用不到1、2年就會搖晃,還有植體重複斷裂、又需要重新種植的現象,主要還是因為許多民眾忽視價格背後隱藏的陷阱,沒有主動詢問牙材,或不了解迷你植體與一般植體的差異,導致植牙最終以失敗收場。
-
長期偏頭痛、睡不好?快照鏡子看牙齒有沒有這些問題
2021-04-19 18:24:48你常感到肩頸痠痛、頭痛,或是睡眠品質差,甚至有睡眠呼吸中止症嗎?1名年約50歲的李姓台商不僅有上述困擾,還連同牙周病導致前牙區上下排各有6、7顆牙齒在搖晃。原本是為了治療牙周病而前往牙醫診所就診,沒想到檢查過程中被醫師發現他的後牙區有缺牙。
-
女童戽斗、齒列不整身心受創 矯正抓準時機事半功倍
2021-01-06 17:04:52小學2年級的婷婷因為有嚴重的戽斗,講話容易大舌頭,在校遭受同學言語嘲弄,還幫她取了個綽號叫「香蕉妹」,女童心情大受影響,變得沉默不愛笑。家長得知後,決定帶她做牙齒矯正,接受治療後,現在女童擁有一口整齊牙齒,不再逃避上學,個性也轉為開朗活潑,時常綻放露齒笑容。
-
缺牙不補小心恐嚴重牙周病 植牙、牙橋優缺點解析
2021-09-24 23:12:26放任缺牙不處理,會在口內及口外衍生一系列的問題,諸如鄰牙位移、傾倒、顳顎關節障礙、影響咀嚼功能、導致外觀改變等。郭光哲牙醫師提醒,究竟該植牙或做牙橋,每個人的狀況不同,應該與牙醫師詳細討論,及早處理!
-
真假「戽斗」看分明 錯過黃金矯正期恐僅剩開刀一途
2021-08-17 21:33:46青少年面臨矯正的原因多為戽斗或暴牙,若能利用骨頭仍在生長的階段就進行矯正治療,絕對比發育完成且骨骼已經定型後再改善的效果更好。資深牙醫師吳碧礽提醒,成長過程中上下顎骨發育異常,形成下排牙齒在前、上排牙齒在後的「真戽斗」,或是因牙齒錯咬,但骨骼發育正常導致的「假戽斗」,若能提早矯正治療,都對臉型調整、回復正常有很好的效果。
-
植體周圍發炎如同牙周病 牙醫師剖析植牙失敗關鍵因素
2021-10-05 22:42:03植牙技術發展至今已相當成熟,成功率幾乎可達9成以上,但根據臨床醫學統計,約43%的植牙患者術後會出現植體周圍軟組織發炎的狀況,還有22%植牙患者可能發生更嚴重的植體牙周炎,多數元凶其實來自於口腔清潔不當,而植體周圍的骨頭倘若流失嚴重,則植體失敗率也會大幅提高。
-
長輩也想好好吃頓年夜飯 數位All on 4全口重建可實現
2021-01-28 13:55:58年節餐桌上的大魚大肉對一般人來說是美食饗宴,但對於沒有牙齒的老年人而言,即使戴上活動假牙,咬到稍硬的食物,還是會覺得牙齦不舒服;即便考慮全口重建,又得擔心短時間內無法完成植牙。專業牙科醫師林楚喬表示,目前All on 4能解決這些難題,想好好吃頓年夜飯,趕在黃曆新年前完成全口重建正是時候。
-
中醫能治牙痛?遠比想像中快|牙痛 牙齒痛 牙病 牙齦痛 |談古論今話中醫(329)
2017-07-31 17:12:56俗話說:「牙疼不是病,疼起來要人命。」相信有牙痛經驗的朋友對這句話一定非常有深刻的體會,中醫是如何針對牙痛來辨證論治,這一集我們邀請到上海同德堂胡乃文中醫師來探討這問題。
-
拔牙、植牙對身體有害?中醫師這樣說...|牙痛 牙齒痛 牙病 牙齦痛 |談古論今話中醫(329)預告
2016-11-11 14:54:55俗話說:「牙疼不是病,疼起來要人命。」相信有牙痛經驗的朋友對這句話一定非常有深刻的體會,中醫是如何針對牙痛來辨證論治,這一集我們邀請到上海同德堂胡乃文中醫師來探討這問題。
-
根管治療抽神經後 牙醫:有牙套也應仔細清潔
2019-07-10 14:30:01牙痛突然來襲,往往教人難以忍受,尤其當齟齒的範圍已經侵犯牙髓腔,神經發炎併發疼痛症狀,牙根尖周圍囊腫或是因外傷碰撞導致神經受損無法回復時,經牙醫師診察後,通常需要進行根管治療(俗稱抽神經)。
-
口腔重建如何選?傳統假牙VS.植牙停看聽
2019-09-20 18:56:30台灣已邁入高齡化社會,越來越多銀髮族需要裝置假牙以維持正常咀嚼功能,但該選擇傳統假牙還是植牙重建?
-
牙齦流血恐牙周病前兆 別以為只是火氣大
2018-03-16 17:24:28牙周病可說是現代人的新國民病,據調查,全台8成以上成年人罹患牙周病,但最新口腔護理問卷調查卻顯示,民眾對牙齦健康的認知大NG,多數人都曾有過牙齦出血、紅腫等牙周病前兆,卻有超過7成以為這只是「睡眠不足」,超過5成人誤以為是「吃了上火食物」,導致火氣大,喝喝青草茶、楊桃汁退火,就沒事。
-
健保停保制度大限縮 旅外國人將不可申請停保
2017-11-27 16:50:58每到了寒、暑假,牙科總會多出許多候鳥型病患。許多旅居海外者,一回來馬上就到診所洗牙、補蛀牙,做根管治療,全因台灣門診150元的掛號費,根本只是歐美各國醫療費用的零頭。
-
醫院「空中纜車」分流器械避免交叉感染
2016-08-28 21:48:02台北有貓纜,您聽過醫院也有纜車嗎?透過鏡頭帶您直擊彰化有醫院啟用輕軌纜車系統,透過中央系統,將髒污、器械分流,器械清洗、消毒、殺菌,降低交叉感染。
-
單次拔牙幾顆以內算正常?牙醫師:問題不在拔牙顆數
2020-11-20 18:52:40嘉義1名34歲女性拔牙20顆回家後,隔日昏迷死亡,家屬質疑與拔牙有關,檢察官解剖初判為「右肺吸入性肺炎」,實際死因是否與拔牙相關仍有待認定。台北醫學大學口腔醫學院院長鄭信忠表示,鮮少單純因拔牙死亡,大多數伴隨慢性病等因素,拔牙其實是不得不的手段,感染非常嚴重的牙齒,才會選擇拔除。










